청담라인치과 의료진 소개
- 서정교
- 원장 / 통합치의학전문의
양심적으로 진단하고 정확한 치료계획을 통해
환자분께서 만족하실 수 있는 진료결과를 만들겠습니다.
- 경희대학교 치과대학 치의학과 졸업
- 서울대학교 치의학대학원 임플란트과정 수료
- New York 치과대학 임플란트과정 수료
- 보건복지부 인증 통합치의학과 전문의
- 대한치과보철학회 정회원
- 대한심미치과학회 정회원
- 대한구강악안면임플란트학회 정회원
- 미국심미치과학회(AACD) 정회원
- OSSTEM AIC Professional Implant course 수료
- OSSTEM AIC Professional Implant course Prosthodontics advanced course 수료
- Dentium Implant Advanced Prosthetic course 수료
- Dentium implant Advanced Post-graduate course in clinical Periodontics 수료
- Top-Down Prosthodontics 수료
- ARA Dental Institute 턱관절 과정 수료
- STM Orthodontic procedure course 수료 (치아교정)
청담라인치과 임플란트
네비게이션 임플란트
목표지점에 정.확.히
임플란트를 식립할 위치와 모의수술을 통해 계산하여
수술유도장치(가이드)를 제작하고, 이를 바탕으로 신속하고 정확한
임플란트 식립이 가능해졌으며 이를 자동차의 네비게이션과 같다고 하여
네비게이션 임플란트라고 부릅니다.
네비게이션 임플란트 치료과정
-
STEP 01
X-RAY, 3D-CT
촬영 -
STEP 02
3D-CT를 활용하여
모의수술 -
STEP 03
수술유도장치(가이드)
제작 -
STEP 04
가이드를 통한
네비게이션 수술 진행
네비게이션 임플란트 차이점
일반 임플란트
- 절개 방식
- 출혈여부
- 부기여부
- 치료후 휴식기간
- 전반적 기간
- 절개 시술
- 출혈이 있음
- 부기 동반
- 1~2주 휴식
- 최소 3개월~6개월
- 절개 방식
- 출혈여부
- 부기여부
- 치료후 휴식기간
- 전반적 기간
네비게이션 임플란트
- 절개 방식
- 출혈여부
- 부기여부
- 치료후 휴식기간
- 전반적 기간
- 비절개 시술
- 출혈이 거의 없음
- 부기 거의 없음
- 바로 일상생활 가능
- 전반적인 치료기간 단축
네비게이션 임플란트 적합한 유형
-
필요한 임플란트 개수가 여러개이신 분
-
출혈 시 지혈에 어려움이 있으신 분
-
전신질환, 노약자 등 장시간 치료가 어려우신 분
-
시간 내기가 어려워 빠른 시술을 원하시는 분
-
당뇨, 고혈압 등 전신질환이 있으신 분
-
통증 때문에 임플란트 치료를 망설이셨던 분
iTero Lumina 구강 스캐너
인상재 없이 스캔만으로 인상을 채득하여
더 빠르게 더 정확하게 더 편하게 보철물을 제작합니다.
-
어린아이나 입이 작은 분들도 쉽게 스캔
-
스캔 후 모니터를 통해 치아 상태를 3D 이미지로 확인 가능
-
교정 과정과 결과를 가상으로 시뮬레이션
-
정밀한 스캔으로 본인에게 맞는 교정장치 제작과 정확한 결과 예측
세계판매 1위
스트라우만 임플란트
스트라우만은 점유율 기준 전세계 1위의 임플란트 브랜드입니다.
60년 이상의 긴 역사로 치아 대체 솔루션 분야 글로벌 기업이며,
전 세계 100개국에서 2000만 개의 임플란트가 식립됐고,
식립 10년 후 99.7%가 건강하게 유지되고 있는 것을 인증한 회사입니다.
스트라우만 임플란트 특징
-
POINT 01
명품시계 등 정밀공학으로 유명한
스위스의 대표 임플란트 -
POINT 02
완벽한 품질을 위해
출고 전 모든 제품 전수조사 실시 -
POINT 03
세계 판매 1위
스위스 시장 점유율 80%
빠른 골융합으로 성공율 높은
국산 임플란트
안전성과 우수한 품질을 인증받은 국산 임플란트!
외산 임플란트에 뒤처지지 않습니다.
국산 임플란트 종류
-
오스템
국내 시장점유율이 가장 높은 오스템 임플란트는
10년 이상의 장기 임상기록을 보유하고 있습니다.
높은 수술성공률과 정품인증서의 발급으로
믿을 수 있는 임플란트입니다. -
네오
생체 친화적인 표면처리로 뼈와의 융합이 안전하게
이루어질 수 있으며 초기 고정력이 우수하고 식립이 빠릅니다.
네오바이오텍의 임플란트로 구강상태와 수술 위치 등의
조건을 고려하여 수술할 수 있습니다.
청담라인치과 교정
티나지 않게, 편안하게
인비절라인 교정
일반적인 교정장치와 철사와는 달리, 투명하고 얇은 교정 장치이며
심미성이 매우 우수하며 정밀한 디지털 장비로서 개인의 치아 상태를
분석하고 예측하여 맞춤 제작되므로 오차가 적고 정교합니다.
인비절라인을 추천하는 이유
- POINT 01 높은 심미성
- POINT 02 적은 내원 횟수
- POINT 03 편안한 착용감
- POINT 04 위생적인 관리
인비절라인 가장 진보된 기술력
-
세계에서 가장 혁신적인 투명교정장치
iTero 스캐너를 사용해 환자의 잇몸라인에 딱 맞추어 맞춤 제작되어
편안하고 우수한 교정장치입니다. -
최첨단 시각화 제품 디지털 구강스캐너
iTero Multi-Direct Capture 기술로 전작 대비 시야각이 3배 더 넓어지고
최대 캡처 거리가 25mm로 개선되 구개, 무치악, 부분 돌출 및 밀집 치아와 같은
까다로운 부위를 손쉽게 캡쳐할 수 있습니다.
아이를 위한 선택,
인비절라인 퍼스트
-
성장기 어린이들의 악궁 확장
-
새로 날 치아를 위한 공간 확보
-
스마트트랙 소재로 편안한 착용감
-
탈착 가능으로 성장기 어린이의 자유로운 음식 섭취
-
평소처럼 양치 및 치실 사용으로 위생적인 구강 관리
자가결찰 클립
클리피씨 교정
치아색과 유사한 장치를 사용하여 심미성을 향상시킨 교정 방법입니다.
자가결찰장치로 통증이 적고 치아가 빠르고 효과적으로 이동하여
내원 횟수가 적어 바쁜 현대인들에게 추천하는 교정 장치입니다.
클리피씨 교정 자가결찰 브라켓이란?
브라켓 자체에 내장된 클립을 열고 닫아 와이어를 고정하는 것을 말합니다.
-
닫았을 때
-
열었을 때
-
다시 닫았을 때
클리피씨 교정 장점
- POINT 01 높은 심미성
- POINT 02 자가결찰 브라켓
- POINT 03 치료 기간 단축
- POINT 04 적은 통증
-
POINT 05
세라믹재질
브라켓
클리피씨 교정 적합한 유형
-
교정 기간으로 인해 고민되시는 분
-
티 나지 않는 교정을 원하시는 분
-
통증이 걱정되시는 분
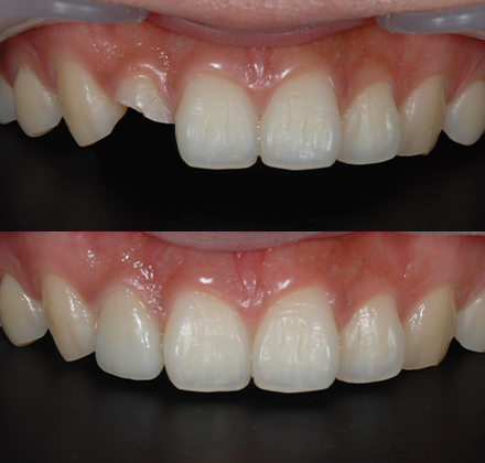
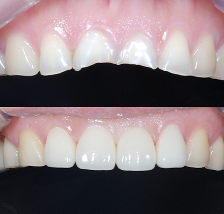
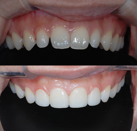
청담라인치과 라미네이트
아름다운 앞니로 밝은 미소
최소삭제 라미네이트
청담라인치과의 최소삭제 라미네이트는
얇으면서도 강도를 유지하기 위한 청담라인치과만의
최적의 얇기의 명품 수공 라미네이트만을 사용하며,
치아의 배열 모양과 크기 색상 등을 동시에 개선할 수 있습니다.
-
최소삭제를 통해 자연치아를 최대한 보존
-
방문횟수를 최소화하여 환자 불편함 감소
-
자연스럽고 아름다운 치아 완성
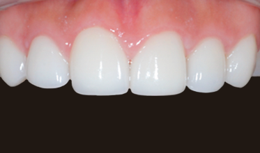
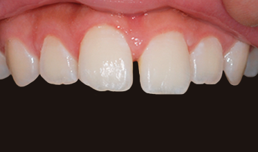
자연치아를 최대한 보존한
건강한 라미네이트
-
자연치아
벌어지고 갈린치아
-
디자인
최적의 치아를 위한 디자인
-
최소삭제 라미네이트
가지런히 정돈된 앞니
자연치아를 최대한 보존한
건강한 라미네이트
-
CASE 01 벌어진 앞니 -
CASE 02 벌어지고 작은 치아 -
CASE 03 벌어지고 작은 치아
자신있는 미소
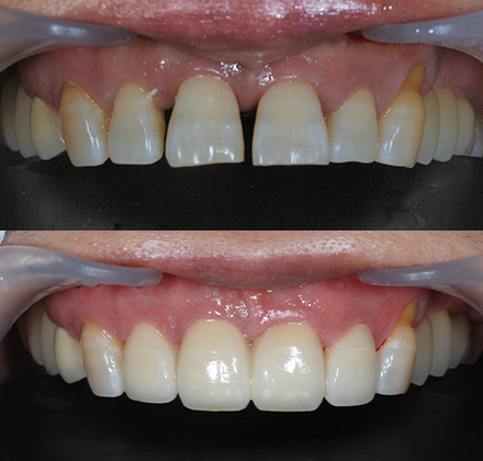
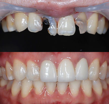
올세라믹
청담라인치과의 올세라믹은
정밀 CT를 통해 치아 및 그 주변 조직까지 정확하게 파악하여
토끼이빨, 치아벌어짐, 파절 등 고민있는 치아를 해결해드립니다.
올세라믹 사례
-
CASE 01 망가지고 깨진 치아 -
CASE 02 사고로 부러진 치아 -
CASE 03 많이 갈린 치아
올세라믹 치료 적합한 유형
-
앞니가 벌어져 미관상 신경이 쓰이시는 분
-
기존에 한 보철물이 노출되어 미관상 신경이 쓰이시는 분
-
치아의 파절로 인해 다시 치아를 해야하는 경우
-
앞니가 삐뚤어진 상태를 가지런하게 정리 원하시는 분
청담라인치과 턱관절
자고 일어나면 뻐근한 턱
턱관절 장애
잠을 자는 도중에 윗니와 아랫니를 맞대고 강하게 깨물거나,
갈아대는 행위를 말합니다.
이갈이는 턱관절 장애, 치아의 마모, 치주질환, 저작근의 통증 등을
일으킬 수 있어 치료가 필요합니다.
턱관절 기능 장애
-
CASE 01
입을 벌리거나 다물 때
턱에서 소리 남 -
CASE 02
입을 여닫을 때
턱이 지그재그로 움직임 -
CASE 03
입이 잘 벌어지지 않거나
다물어지지 않음
턱관절 통증
-
CASE 01
귀 앞 부위나 귀 안이
막힌 느낌의 통증 -
CASE 02
턱관절과 그 주변 부위에 통증
(두통,저작근통,치통,안면통) - CASE 03 음식을 씹을 때 통증
턱관절 진단 과정
- STEP 01 문진표 및 설문지 작성
- STEP 02 X-ray, CT 촬영
- STEP 03 측두하악장애분석검사
턱관절
치료방법
-
TREATMENT 습관교육 -
TREATMENT 약물치료 -
TREATMENT 물리치료- · 분사신장요법
- · 레이저요법
- · 전기자극요법
-
TREATMENT 보톡스 -
TREATMENT 구강내장치치료
턱관절질환 진행감소치료
스플린트(splint)
스플린트는 턱관절에 가해지는 과부하를 줄여 디스크가 정상적인 위치로 돌아가도록 돕고
치아와 턱근육, 턱관절의 통증을 해소해주는 맞춤형 장치입니다.
청담라인치과 둘러보기

서울시 강남구 학동로 433, 7층
- 월 · 수 AM 10:00 - PM 08:00 (야간진료)
- 화 · 목 · 금 AM 10:00 - PM 07:00
- 토요일 AM 10:00 - PM 02:00 (점심시간 없음)
- 점심시간 PM 01:00 - PM 02:00
※ 일요일 및 공휴일 휴무